Stunning MRI Captures The Unbreakable Bond Between Mother And Child

This neuroscientist mom used an MRI machine to give the typical baby photo a scientific twist.
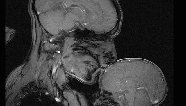
An MRI is often used to find tumors or blocked blood vessels, but a neuroscientist recently used the technology to capture something much sweeter. Rebecca Saxe, a professor of cognitive neuroscience at MIT, recently released this breathtaking image of her cuddling and kissing her two-month-old son, Percy, inside an MRI machine.
Saxe tells Today she’s particularly interested in how infant brains develop and spent a lot of time in MRI machines with her first child, watching his brain grow and change. That’s how she got the idea to capture this image with her second child, though it took a lot of modifications since her machine wasn’t set up to capture images of two people. It wasn’t easy, but Saxe writes in Smithsonian Magazine, “No one, to my knowledge, had ever made an MR image of a mother and child. We made this one because we wanted to see it.”
The image is striking for a lot of reasons. First, as Saxe points out to Today, there are the mom and infant brains. She says some people look at it and see “how thin his skull is; how little space there is between the world outside and his brain.” Others notice how similar an infant’s brain is to their mother’s and “how close in size – so much closer in size than his hand.”
The other thing that’s so stunning is the relationship the image depicts. You can’t see any surface details and yet, the bond is plainly evident. You can see how fragile the infant is, and the strong and protective universal figure of a mom. As Saxe writes in her Smithsonian piece, “… the two figures, with their clothes and hair and faces invisible, become universal, and could be any human mother and child, at any time or place in history.”
Since the image went public, it’s been shared around the world. A few have questioned the safety of subjecting infants to frequent MRIs, but fear not: MRIs use magnetic field and radio waves to create their images, and there is no high-energy radiation exposure. Saxe also told Today her son wore pads over his ears throughout the process, to protect him from the noise of the machine. The baby was safe, loved and content — just how he looks in the image.
It’s not every day we get an inside look at the bond between mother and child. It’s such a unique relationship, and this photo is a beautiful reminder that no matter where we come from, who we are, or how we choose to parent, what’s going on inside all of us is the same. The love between a mother and her child is universal.